Le sindromi aortiche acute comprendono una serie di condizioni potenzialmente letali che interessano l’aorta, la principale arteria del corpo. Queste sindromi includono:
Dissezione Aortica
La dissezione aortica è una condizione grave che si verifica quando una lacerazione nella parete interna dell’aorta consente al sangue di entrare nel muro aortico, separando le sue pareti e creando due lumi (vero e falso). Questo tipo di lesione può compromettere gravemente il flusso sanguigno e portare a gravi complicanze. La dissezione di tipo A, che coinvolge l’aorta ascendente e l’arco aortico, è particolarmente pericolosa. La mortalità aumenta drammaticamente, con una percentuale di mortalità che può arrivare fino al 1-2% per ogni ora dall’insorgenza dei sintomi. La dissezione di tipo B, che riguarda solo l’aorta toracica discendente, ha una mortalità che può raggiungere il 20% entro 48 ore se complicata. Il trattamento tempestivo è cruciale per ridurre i rischi di vita.
Ulcera Penetrante Aortica (PAU)
L’ulcera penetrante aortica è una rara lesione della parete aortica che generalmente si sviluppa in presenza di placca aterosclerotica. Queste ulcere, pur essendo inizialmente asintomatiche in molti casi, possono evolvere rapidamente in complicanze più gravi. Se non trattata adeguatamente, l’ulcera può causare dissezione aortica o addirittura una rottura dell’aorta, che sono condizioni ad alto rischio per la vita. La diagnosi precoce è fondamentale per prevenire il peggioramento.
Ematoma Intramurale Aortico
L’ematoma intramurale aortico si verifica quando il sangue si accumula all’interno della parete dell’aorta, senza la formazione di un flap intimale, come nella dissezione. Questo accumulo di sangue rende la parete aortica più fragile, aumentando il rischio di rottura o dissezione. Anche se inizialmente può non presentare sintomi evidenti, un ematoma intramurale non trattato può evolvere rapidamente in un’emergenza medica.
Rischi e Complicazioni
Le sindromi aortiche acute rappresentano una emergenza medica che richiede un trattamento rapido e appropriato. La diagnosi precoce e l’intervento tempestivo sono fondamentali per ridurre il rischio di morte. Le complicazioni più gravi includono la rottura aortica, la dissecazione aortica e l’insufficienza cardiaca. Il trattamento può includere chirurgia d’urgenza, terapia farmacologica per stabilizzare la condizione, e monitoraggio continuo del paziente.
Sintomi Comuni delle Sindromi Aortiche Acute
- Dolore toracico improvviso e intenso: Spesso descritto come un dolore “strappante” o “bruciante”.
- Perdita di coscienza o vertigini: Può derivare da un ridotto flusso sanguigno.
- Difficoltà respiratorie: Specialmente se la dissezione coinvolge l’arteria polmonare o l’aorta ascendente.
- Shock o crollo circolatorio: Segno di una rottura imminente o di grave emorragia.
Prevenzione e Diagnosi
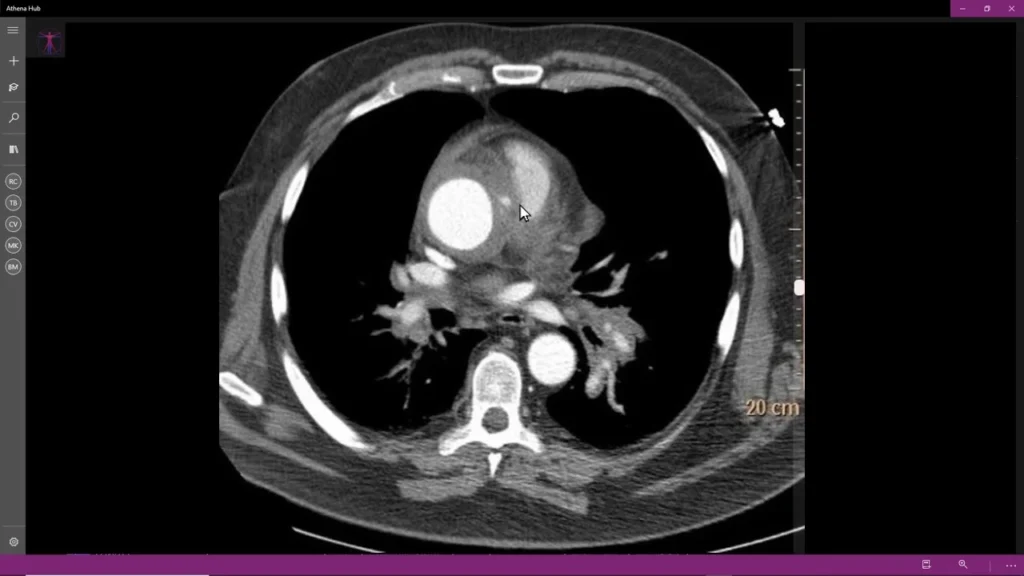
La prevenzione delle sindromi aortiche acute include il controllo dei fattori di rischio come l’ipertensione arteriosa, l’aterosclerosi, il fumo e la storia familiare di malattie cardiovascolari. Se sospetti di avere una sindrome aortica acuta, è fondamentale consultare immediatamente un medico. I test diagnostici, come ecocardiogrammi, TC aortica o RMN, sono utilizzati per identificare la dissezione, l’ulcera penetrante e l’ematoma intramurale.
In conclusione, le sindromi aortiche acute sono condizioni altamente pericolose che richiedono una gestione rapida ed efficace. Se trattate tempestivamente, è possibile migliorare significativamente le possibilità di sopravvivenza e ridurre il rischio di complicazioni a lungo termine.