La radiologia interventistica offre approcci mini-invasivi per il trattamento dell'empiema pleurico, riducendo i rischi e accelerando i tempi di recupero. Con tecniche avanzate, consente una gestione precisa e mirata, migliorando significativamente il benessere del paziente.

  • Empiema pleurico: Cos’è, Sintomi e Cause

    L’empiema pleurico è un’infezione grave che si verifica quando il fluido purulento si accumula nello spazio tra i polmoni e la parete toracica, noto come cavità pleurica. Questo stato infiammatorio è spesso il risultato di un’infezione polmonare non trattata o di un’infezione post-operatoria, ed è caratterizzato da dolore toracico, febbre e difficoltà respiratorie.

    Seppur l’introduzione degli antibiotici abbia migliorato la prognosi, l’empiema pleurico rimane una condizione complessa, con una varietà di cause eziologiche, tra cui microrganismi resistenti ai farmaci. Il trattamento dell’empiema richiede un approccio multidisciplinare, che può includere terapie antibiotiche, drenaggio del fluido pleurico e, nei casi più gravi, interventi chirurgici. L’utilizzo di tecniche moderne di radiologia interventistica, come il drenaggio percutaneo, ha rivoluzionato la gestione della malattia, riducendo i rischi e migliorando i tempi di recupero. Tuttavia, la variabilità dei trattamenti e la mancanza di studi prospettici conclusivi rendono ancora difficile determinare un protocollo terapeutico universalmente efficace.

    I sintomi dell’empiema pleurico possono variare ampiamente in base alla causa, al tipo di agente patogeno, allo stato immunitario del paziente e alla gravità dell’infezione. La presentazione clinica può andare da una forma paucisintomatica a un quadro grave con segni di tossicità sistemica.

    Dolore toracico: È uno dei sintomi principali e tipicamente localizzato nella zona sottomammaria, ma può essere anche riferito ad altre aree del torace. All’inizio è acuto e intenso, per poi diventare più gravativo. Spesso è accompagnato da contrattura muscolare, che limita i movimenti del torace e si risolve dopo l’evacuazione del pus. La diagnosi differenziale con il mesotelioma si basa sul fatto che in quest’ultimo caso il dolore persiste anche dopo la rimozione del liquido pleurico.

    Dispnea: La difficoltà respiratoria è frequente, soprattutto nei periodi acuti, ed è causata dalla risposta infiammatoria della pleura e dal versamento pleurico, che riduce la capacità di espansione del polmone.

    Febbre: Sebbene non sempre presente, la febbre può manifestarsi con picchi elevati seguiti da remissioni rapide, accompagnati da brividi e sudorazioni. La febbre tende a ridursi dopo l’eliminazione del materiale infetto dalla cavità pleurica.

    Tosse: La tosse è spesso produttiva, causata dall’irritazione pleurica e dalle lesioni polmonari. In presenza di pus o secrezioni purulente, può indicare la formazione di una fistola broncopleurica.

    Malessere generale e astenia: Questi sintomi sono comuni e riflettono l’impatto sistemico dell’infezione, che può portare a un generale indebolimento e stanchezza.

    Esame obiettivo: Durante l’esame fisico, l’emitorace affetto appare ipomobile, e la palpazione può rivelare un’area calda e arrossata, suggerendo la formazione di una fistola pleurocutanea (empiema necessitatis). Nei casi avanzati, le manifestazioni possono includere compressione degli organi circostanti, come la vena cava, i nervi ricorrenti o il nervo frenico, con conseguenti sintomi specifici come tosse persistente, singhiozzo o dolore a fascia.

    Gli empiemi saccati possono presentare segni di compressione degli organi vicini, ma questi sono spesso tardivi e difficili da diagnosticare. Le complicanze come le fistole pleurocutanee e le aderenze pleuropolmonari sono frequenti, con vari segni di coinvolgimento nei casi più complessi, come nel mesotelioma o nell’infezione da micobatteri.

    L’empiema pleurico si sviluppa principalmente come complicanza di patologie polmonari di natura infiammatoria, neoplastica o reattiva. Questo significa che l’empiema è spesso il risultato di un’infezione o di un’infiammazione preesistente nel polmone che si diffonde alla pleura, la membrana che riveste i polmoni. Le cause principali includono:

    • Infezioni polmonari batteriche: La maggior parte degli empiemi pleurici si sviluppa a seguito di polmoniti batteriche, in particolare quelle causate da Streptococcus pneumoniae, Staphylococcus aureus, incluso il ceppo resistente alla meticillina (MRSA), e altri patogeni come Haemophilus influenzae e Escherichia coli. Questi batteri, se non trattati adeguatamente, possono invadere la pleura e causare una raccolta di pus, con conseguente empiema.
    • Ascesso polmonare: In alcuni casi, un ascesso polmonare, che è una raccolta di pus nel tessuto polmonare, può evolvere in empiema se il materiale purulento si diffonde nella cavità pleurica.
    • Traumi toracici o interventi chirurgici: Lesioni traumatiche al torace, come fratture costali o ferite penetranti, possono introdurre batteri nella pleura, causando un’empiema. Analogamente, interventi chirurgici, come quelli per la resezione polmonare o la rimozione di tumori, possono favorire l’infezione della cavità pleurica.
    • Patologie infiammatorie croniche: Condizioni come la tuberculosis o altre infezioni micotiche (es. Aspergillus o Histoplasma) possono causare empiema pleurico, specialmente se non trattate tempestivamente o se il sistema immunitario del paziente è compromesso.
    • Neoplasie polmonari: Tumori polmonari primari o metastasi polmonari, specialmente quelli che interessano la pleura, possono essere complicati dalla formazione di un empiema. La raccolta di liquido purulento può svilupparsi a causa della necrosi tumorale o della rottura di cisti o tumori pleurici.
    • Embolia polmonare: Un’embolia polmonare (un coagulo di sangue che blocca una delle arterie polmonari) può causare un’infiammazione pleurica che, se non trattata adeguatamente, può evolvere in empiema.
    • Infezioni virali: Sebbene più rare, le infezioni virali, come quelle da virus influenzali o coronavirus, possono predisporre a un’infezione batterica secondaria che porta alla formazione di empiema.
  • Empiema pleurico: Diagnosi-Trattamento

    La diagnosi di empiema pleurico inizia con un’accurata valutazione clinica da parte del medico specialista, che, in base alla presentazione del paziente e ai sintomi riportati, può prescrivere una serie di esami diagnostici per confermare la presenza di infezione pleurica.

    • Radiografia del torace: La radiografia del torace in due proiezioni (frontale e laterale) è spesso il primo passo diagnostico. Può mostrare segni di versamento pleurico, che è tipico dell’empiema. Tuttavia, una radiografia da sola non è sufficiente a confermare la presenza di pus o a determinare la gravità della condizione.
    • Toracentesi: È l’esame fondamentale per la diagnosi di empiema pleurico. Consiste nel prelievo di un campione di liquido pleurico mediante un ago inserito tra le coste. Questo campione viene poi analizzato per determinare la presenza di batteri, cellule infiammatorie o altre sostanze che possono indicare l’infezione. L’analisi microbiologica del liquido è essenziale per identificare l’agente eziologico (ad esempio, batteri, virus o funghi) e per guidare la scelta del trattamento antibiotico.
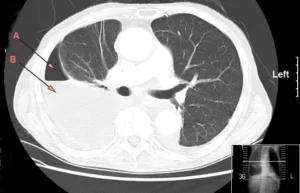
    • Tomografia Computerizzata (TC) del Torace: In caso di sospetto empiema, la tomografia computerizzata può essere utile per ottenere immagini dettagliate della cavità toracica. La TC aiuta a valutare l’estensione dell’infezione, la presenza di complicazioni come la formazione di ascessi o fistole pleuriche e può guidare il trattamento terapeutico. È particolarmente utile per identificare empiemi complessi, come quelli con setti settici o empiemi saccati.
    • Risonanza Magnetica (RM): Sebbene meno comunemente utilizzata rispetto alla TC, la risonanza magnetica può essere impiegata per casi complessi o per pazienti con controindicazioni alla TC (ad esempio, a causa di allergie al contrasto o insufficienza renale). La RM offre una visione dettagliata dei tessuti molli e può essere utile per valutare la pleura e la struttura polmonare in modo più preciso.
    • Ecografia toracica: L’ecografia è un esame non invasivo che può essere utilizzato per identificare la presenza di versamento pleurico e per guidare la toracentesi. È utile nel monitoraggio dei pazienti con empiema pleurico, poiché consente di osservare in tempo reale la raccolta di liquido e di dirigere con precisione l’aspirazione.

    La diagnosi tempestiva dell’empiema pleurico è fondamentale per evitare complicazioni gravi come il collasso polmonare, la sepsi o l’insufficienza respiratoria. Il trattamento precoce con antibiotici e drenaggio adeguato del liquido pleurico è essenziale per migliorare la prognosi.

    Il trattamento dell’empiema pleurico richiede un approccio integrato che combina terapia antibiotica e interventi per drenare il materiale infetto dalla cavità pleurica. La gestione tempestiva ed efficace di questa condizione è fondamentale per prevenire complicanze gravi e garantire una buona prognosi.

    • Terapia antibiotica: La prima linea di trattamento prevede l’uso di antibiotici mirati all’agente eziologico identificato attraverso l’analisi del liquido pleurico. La durata della terapia antibiotica è generalmente di almeno 3 settimane, con aggiustamenti basati sulla risposta clinica e sui risultati degli esami di laboratorio.
    • Drenaggio pleurico: Se la terapia antibiotica da sola non risulta sufficiente, è necessario procedere al drenaggio del liquido purulento accumulato nella cavità pleurica. Questo intervento può essere effettuato sotto guida radiologica, utilizzando tecniche come la toracentesi o l’inserimento di un drenaggio pleurico per aspirare il materiale infetto. Il drenaggio viene mantenuto fino alla completa risoluzione dell’infezione.
    • Ruolo della radiologia interventistica: La radiologia interventistica svolge un ruolo cruciale nella gestione dell’empiema pleurico, offrendo approcci minimamente invasivi per il drenaggio e il trattamento. I radiologi interventisti sono specializzati nell’esecuzione di procedure guidate da imaging, garantendo precisione e sicurezza nell’intervento.
    • Considerazioni aggiuntive: In casi complessi o quando le terapie standard non sono efficaci, possono essere prese in considerazione procedure aggiuntive come la pleurodesi o interventi chirurgici per rimuovere il tessuto infetto e prevenire recidive.
    • Collaborazione multidisciplinare: La collaborazione tra pneumologi, radiologi interventisti e altri specialisti è essenziale per garantire un trattamento ottimale e personalizzato per ogni paziente affetto da empiema pleurico.