Aneurismi e pseudo aneurismi viscerali: una panoramica
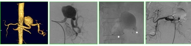
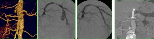
Gli aneurismi viscerali e gli pseudo aneurismi viscerali sono condizioni rare che coinvolgono principalmente il tronco celiaco, le arterie mesenteriche e le loro diramazioni. Questi aneurismi riguardano le arterie che irrorano organi vitali come il fegato, il pancreas, la milza e l’intestino.
Cos’è un aneurisma viscerale?
Un aneurisma è la dilatazione patologica di una arteria viscerale con un diametro almeno 1.5 volte superiore a quello normale, che interessa tutti i suoi strati. Questo fenomeno può essere pericoloso, a causa del rischio di rottura.
Cos’è uno pseudo aneurisma viscerale?
Uno pseudo aneurisma è una dilatazione dell’arteria che coinvolge solo uno strato del vaso, tipicamente a seguito di un trauma che danneggia l’arteria. In questo caso, il sangue fuoriesce dal vaso e viene contenuto solo parzialmente.
Le arterie più colpite da aneurismi viscerali
Le arterie splenica e epatica sono le più comunemente interessate da aneurismi viscerali. In particolare, l’arteria splenica è coinvolta nel 60-70% dei casi, mentre l’arteria epatica rappresenta circa il 20% degli aneurismi viscerali.
Incidenza e rarità degli aneurismi viscerali
Nonostante la loro gravità, gli aneurismi viscerali sono rari. L’incidenza nella popolazione generale varia dallo 0.1% al 2%, confermando la loro natura poco frequente.
Se sospetti un aneurisma viscerale, è fondamentale consultare uno specialista per una diagnosi e un trattamento tempestivi.




