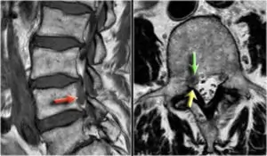
Il dolore discogeno è un tipo di dolore che origina dai dischi intervertebrali, che sono strutture simili a gel situate tra le vertebre della colonna vertebrale. Questi dischi agiscono come ammortizzatori, mantenendo lo spazio tra le vertebre e consentendo il movimento della colonna vertebrale. Con l’invecchiamento o altre condizioni, i dischi possono perdere elasticità, indebolirsi, o danneggiarsi. Quando un disco si rompe o si sporge, può comprimere le radici nervose spinali, causando dolore.
Il dolore discogeno può irradiare lungo la parte bassa della schiena e la gamba, a volte fino ai piedi, un fenomeno noto come lombosciatalgia o sciatica. Questo dolore si verifica principalmente quando un disco danneggiato preme sul nervo sciatico, il principale nervo che scorre lungo la parte posteriore della gamba.
Nel trattamento del dolore discogeno, l’approccio può includere terapie conservative come fisioterapia, farmaci anti-infiammatori, o in alcuni casi, interventi chirurgici, come la rimozione del disco danneggiato o la sua sostituzione con una protesi.
È importante consultare uno specialista in radiologia interventistica o un neurochirurgo per diagnosticare e trattare correttamente il dolore discogeno. La diagnosi può essere supportata tramite tecniche avanzate di imaging, come la risonanza magnetica (RM) o la tomografia computerizzata (TC), che permettono di osservare in dettaglio la condizione dei dischi e delle strutture circostanti.
L’approccio terapeutico varia in base alla gravità del danno al disco e alla risposta del paziente ai trattamenti iniziali. In alcuni casi, le tecniche mini-invasive come le iniezioni peridurali o la discectomia endoscopica possono offrire sollievo significativo senza necessità di un intervento chirurgico maggiore.



