Le emorragie possono essere trattate efficacemente con tecniche minimamente invasive, arrestando il sanguinamento e favorendo una rapida ripresa, riducendo il rischio di complicazioni e il bisogno di interventi chirurgici invasivi.

  • Emorragie - Cosa sono, Emorragia acuta e cronica e Come intervenire

    L’emorragia è la fuoriuscita di sangue dai vasi sanguigni, che può avvenire all’interno del corpo (emorragia interna) o all’esterno (emorragia esterna). La sua gravità dipende da diversi fattori: il punto in cui si verifica, la quantità di sangue perso e la rapidità con cui si interviene. Riconoscere subito un’emorragia è essenziale per evitare complicazioni potenzialmente pericolose per la vita.

    Si parla di emorragia interna quando il sangue si raccoglie all’interno dell’organismo senza fuoriuscire all’esterno. Può interessare organi vitali o cavità corporee (come addome, torace o cranio) e, proprio perché non visibile, è più difficile da identificare.

    Le cause principali di emorragia interna possono includere:

    • Traumi gravi (incidenti stradali, cadute violente)
    • Rottura di organi o vasi sanguigni
    • Ulcere o lesioni interne
    • Complicazioni post-operatorie

    I sintomi di un’emorragia interna variano a seconda della zona coinvolta e della quantità di sangue perso. Segnali da non sottovalutare includono:

    • Pallore e sudorazione fredda
    • Vertigini, debolezza o svenimento
    • Dolore addominale o toracico intenso
    • Gonfiore o lividi profondi senza causa apparente
    • Respiro affannoso e battito cardiaco accelerato

    Un’emorragia interna è sempre un’emergenza medica. Se si sospetta la sua presenza, è fondamentale contattare immediatamente i soccorsi.

    L’emorragia esterna si verifica quando il sangue fuoriesce da una ferita visibile o da un orifizio del corpo. Può derivare da traumi, lesioni chirurgiche o condizioni patologiche preesistenti.

    Alcuni esempi comuni di emorragie esterne sono:

    • Epistassi: sanguinamento dal naso, spesso causato da fragilità capillare o traumi
    • Ematemesi: presenza di sangue nel vomito, indicativa di sanguinamento nell’apparato digerente superiore
    • Otorragia: fuoriuscita di sangue dall’orecchio, spesso legata a traumi cranici
    • Melena: feci nere e maleodoranti, segno di sanguinamento digestivo
    • Rettoragia: sangue rosso vivo dall’ano, indicativo di emorragie del tratto intestinale inferiore
    • Ematuria: presenza di sangue nelle urine, che può derivare da infezioni o traumi renali
    • Menorragia: sanguinamento mestruale eccessivo e prolungato

    Le emorragie esterne si distinguono anche in base al tipo di vaso sanguigno coinvolto:

    • Emorragia arteriosa: proviene da un’arteria e si manifesta con sangue rosso vivo che esce a getti intermittenti sincronizzati con il battito cardiaco. È molto pericolosa per l’elevata pressione nelle arterie, che può causare una rapida perdita di sangue.
    • Emorragia venosa: origina da una vena e si presenta con sangue rosso scuro che fuoriesce in modo più lento e continuo. Anche se meno violenta, può essere altrettanto grave, soprattutto se coinvolge vene di grosso calibro.
    • Emorragia acuta: è una perdita improvvisa e significativa di sangue, causata spesso da traumi, interventi chirurgici o rottura di grandi vasi sanguigni. Una perdita superiore al 30% del volume ematico totale può causare shock ipovolemico e mettere a rischio la vita. Una diagnosi tempestiva e un intervento rapido sono essenziali per stabilizzare il paziente.
    • Emorragia cronica: è una perdita di sangue lenta e continua che si verifica per un lungo periodo di tempo. Le cause più comuni comprendono ulcere peptiche, emorroidi, piccoli tumori sanguinanti o disturbi della coagulazione. Anche se la perdita è minima, nel tempo può portare ad anemia e a una progressiva debilitazione dell’organismo.

    Sapere come agire rapidamente in caso di emorragia può salvare una vita. Ecco alcune indicazioni utili:

    1. Emorragia esterna
      • Applicare una pressione diretta sulla ferita con un panno pulito o una garza sterile per fermare il sanguinamento.
      • Se possibile, sollevare l’arto ferito per ridurre il flusso sanguigno.
      • In caso di emorragia grave, applicare una fasciatura compressiva e, solo in situazioni estreme, un laccio emostatico.
      • Contattare immediatamente i soccorsi se il sanguinamento non si arresta o se la persona mostra segni di shock (pallore, sudorazione fredda, respiro rapido).
    2. Emorragia interna
      • Non è possibile intervenire direttamente. È fondamentale chiamare subito i soccorsi.
      • Mantenere il paziente sdraiato con le gambe leggermente sollevate (se non ci sono sospetti di traumi spinali) per favorire l’afflusso di sangue agli organi vitali.
      • Evitare di somministrare cibi o bevande in attesa dell’arrivo del personale medico.

    Quando rivolgersi al medico

    Un intervento tempestivo può fare la differenza. È essenziale rivolgersi immediatamente a un medico o ai soccorsi in caso di:

    • Emorragie che non si arrestano nonostante la pressione diretta
    • Sospetto di emorragia interna
    • Segni di shock come pallore, sudorazione, respiro rapido o confusione
    • Perdita di coscienza o alterazione dello stato mentale

    Riconoscere e trattare un’emorragia nel modo corretto è fondamentale per prevenire complicazioni gravi. Se si ha il minimo dubbio, è sempre meglio contattare un medico o il pronto soccorso per una valutazione approfondita.

  • Fibromi Uterini: Cos’è, Sintomi e Diagnosi

    Una diagnosi rapida e accurata è essenziale per individuare la causa dell’emorragia e definire il trattamento più efficace. Il processo diagnostico comprende:

    • Anamnesi e esame obiettivo: Raccolta della storia clinica e valutazione fisica per rilevare segni di emorragia o instabilità.
    • Monitoraggio dei parametri vitali: Controllo costante di pressione arteriosa, frequenza cardiaca e stato di coscienza per individuare tempestivamente segnali di shock.
    • Esami di laboratorio: Emocromo completo, PT, PTT e fibrinogeno per valutare la perdita di sangue e la funzionalità della coagulazione.
    • Imaging diagnostico: TC con contrasto ed ecografia FAST per localizzare il sanguinamento e guidare eventuali interventi.

    Radiologo Interventista oggi può trattare emorragie acute e croniche grazie a tecniche avanzate e dispositivi innovativi in continua evoluzione.

    Una delle principali tecniche utilizzate per fermare il sanguinamento è l’embolizzazione, eseguita in centri specializzati con un servizio di Radiologia Interventistica attivo 24 ore su 24, 365 giorni all’anno, da personale qualificato.

    L’embolizzazione urgente deve essere eseguita nel minor tempo possibile, con il massimo della sicurezza ed efficacia. In alcuni casi, può essere eseguita in regime programmato per trattare tumori sanguinanti in modo cronico.

    La procedura inizia con un esame di arteriografia effettuato tramite accesso a arteria femorale, arteria omerale o arteria radiale. Sotto la guida radiologica, il Radiologo Interventista porta un catetere vicino al vaso sanguinante. L’iniezione di mezzo di contrasto e l’uso di radiazioni (arteriografia) permettono di visualizzare il punto esatto di sanguinamento (stravaso del contrasto). Una volta individuato il punto, il vaso sanguinante può essere embolizzato e chiuso.

    Questa tecnica consente di trattare le emorragie in modo minimamente invasivo, riducendo i rischi per il paziente e aumentando l’efficacia del trattamento.

    La chiusura di un vaso sanguinante avviene attraverso l’iniezione o il rilascio di agenti embolizzanti nella zona desiderata. Una arteriografia finale può confermare che l’emorragia è stata arrestata.

    Gli agenti embolizzanti possono essere classificati in base alla durata della loro azione in temporanei e permanenti. Tra quelli temporanei, il più utilizzato è la gelatin sponge (spugna di gelatina); tra quelli permanenti, troviamo particelle non riassorbibili, spirali, plugs, colla, polimeri, ecc.

    Un’altra classificazione riguarda lo stato fisico degli agenti embolizzanti: liquidi e meccanici. Tra i liquidi ci sono colla, polimeri, particelle, ecc.; tra i meccanici ci sono spirali e plugs. Ogni tipo ha vantaggi e svantaggi, e non esiste un “mezzo embolizzante ideale”.

    Il Radiologo Interventista decide quale agente embolizzante utilizzare in base a vari fattori, come la sede del sanguinamento, il tipo di vaso, il tempo a disposizione, ecc. Questi agenti possono essere utilizzati anche in modo combinato.

    Tecniche di embolizzazione: le più comuni sono la chiusura del vaso a monte del sanguinamento, la chiusura a monte e valle (tecnica “sandwich”), e la chiusura di vasi collaterali afferenti. Il Radiologo Interventista è in grado di stabilire quale tecnica è la più adatta ed efficace in ogni situazione.

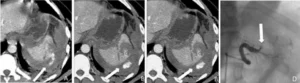
    Arteriografia che mostra il flusso di contrasto extra-luminale e la sede della lesione arteriosa, evidenziata dalla freccia bianca
    Figura A e B: arteriografia con stravaso extra-luminale di mezzo di contrasto, sede della emorragia (freccia bianca). Figura C: Arteriografia eseguita alla fine che dimostra chiusura del vaso che stava sanguinando. La freccia bianca indica il mezzo embolizzante usato (spirali).
    Arteriografia finale che mostra la chiusura dell'arteria sanguinante tramite spirali embolizzanti e cessazione dell'emorragia
    Figura A e B: immagine TC che documenta la sede della lesione arteriosa (freccia bianca). Figura C: la freccia bianca indica la sede dello stravaso extra-luminale di mezzo di contrasto, sede della emorragia. Figura D: chiusura della arteria che stava sanguinando (freccia bianca) e cessazione della emorragia.