La radiologia interventistica è la scelta migliore per trattare gli endoleak, offrendo soluzioni minimamente invasive e precise per la gestione degli aneurismi, senza necessità di interventi chirurgici complessi. Affidati a questa tecnologia avanzata per risolvere tempestivamente le complicazioni vascolari e migliorare la tua salute.

  • Gli Endoleak: Cos'è, Tipi e Cause

    L’endoleak (EL) è una complicanza che può verificarsi dopo il trattamento di un aneurisma addominale con una endoprotesi tramite la tecnica endovascolare (nota come EVAR, Endovascular Aneurysm Repair). Si verifica quando il sangue continua a fluire all’interno della sacca aneurismatica, nonostante l’endoprotesi dovrebbe escluderla dalla circolazione. Sebbene l’EVAR sia un trattamento efficace, l’endoleak è la complicanza più comune, con diverse tipologie che possono richiedere trattamenti diversi.

    Esistono diverse tipologie di endoleak, ciascuna con meccanismi e trattamenti specifici. Ecco una panoramica dei vari tipi:

    Tipo di Endoleak con fallimento di aggancio della protesi
    Questo tipo di endoleak si verifica quando l’endoprotesi non si adatta correttamente ai vasi sanguigni, causando la persistenza del flusso sanguigno nella sacca aneurismatica. Può verificarsi in tre varianti a seconda della localizzazione del fallimento:

    • Quando il fallimento si verifica nella parte prossimale della protesi.
    • Quando il problema riguarda la parte distale.
    • Quando il fallimento si verifica a livello dell’occluder iliaco.

    Tipo di Endoleak causato dall’inversione del flusso da vasi collaterali
    Questo tipo di endoleak si verifica quando il flusso sanguigno ritorna all’interno dell’aneurisma tramite vasi collaterali, come le arterie intercostali, arterie lombari o l’arteria mesenterica inferiore. Se sono coinvolti più rami, il flusso sanguigno può diventare continuo:

    • Un solo ramo coinvolto.
    • Coinvolgimento di due o più rami, causando un flusso continuo.

    Tipo di Endoleak dovuto alla disconnessione o foratura della protesi
    In questo caso, il flusso sanguigno all’interno dell’aneurisma è causato da una rottura o separazione delle componenti della protesi. Il tipo di disconnessione può variare:

    • Disgiunzione tra le componenti della protesi.
    • Foratura della protesi stessa.

    Tipo di Endoleak causato dalla porosità della protesi
    Questo tipo di endoleak viene solitamente rilevato nei primi 30 giorni dopo l’inserimento della protesi, ed è causato dalla porosità della protesi, che permette al sangue di passare attraverso le sue maglie.

    Tipo di Endoleak dovuto all’endotensione
    L’endotensione si verifica quando la sacca aneurismatica continua a essere sottoposta a pressione, ma senza un flusso sanguigno identificabile. Può essere causato da un flusso troppo basso per essere rilevato con le tecniche di imaging tradizionali. Altre cause includono infezioni o la formazione di sieroma, un accumulo di liquido causato dall’ultrafiltrazione di proteine plasmatiche attraverso la protesi.

    Gli endoleak si verificano principalmente per errori tecnici durante l’installazione della protesi, ma possono anche essere causati da fattori anatomici o tecnici, come:

    • Mismatch dimensionale tra la protesi e i vasi sanguigni.
    • Difetti della protesi (come porosità o malformazioni).
    • Anomalie nei vasi collaterali che causano flussi inversi.

    Sintomi degli Endoleak

    Spesso gli endoleak non causano sintomi immediati e possono rimanere asintomatici per mesi o anni. Tuttavia, quando presenti, i sintomi includono:

    • Dolore addominale o nella parte inferiore della schiena.
    • Aumento del volume dell’addome (a causa della crescita dell’aneurisma).
    • Pulsazioni addominali.

    La diagnosi di endoleak è di fondamentale importanza per evitare complicazioni gravi come la rottura dell’aneurisma. Se non trattato, un endoleak può compromettere il successo dell’EVAR e portare a rischi significativi per il paziente.

Trattamento endoleak tipo II mediante embolizzazione delle arterie afferenti
  • Gli Endoleak: Follow-up dopo EVAR e Trattamento degli Endoleaks

    Il follow-up dopo l’implantazione di una endoprotesi aortica (EVAR) è fondamentale per monitorare l’evoluzione dell’aneurisma e prevenire complicanze. La maggior parte dei centri utilizza l’angio-TC come strumento di sorveglianza post-operatoria. L’angio-TC viene generalmente eseguita a distanza di 30 giorni dall’intervento, quindi a 6 mesi e successivamente ogni anno. Questo protocollo è basato sulla necessità di identificare precocemente eventuali complicanze, che si verificano prevalentemente nei primi 3 anni dopo l’intervento. In assenza di complicanze durante i primi 3 anni, tuttavia, alcuni esperti suggeriscono che il follow-up potrebbe essere ridotto o addirittura sospeso.

    Recentemente, i protocolli di sorveglianza post-implantazione sono in fase di revisione in diversi centri. L’ecografia con mezzo di contrasto (CEUS) è una tecnica che, sebbene non ancora completamente validata, sta guadagnando popolarità come alternativa all’angio-TC, in quanto meno invasiva e con un rischio di radiazioni minore. La radiologia interventistica ha un ruolo cruciale nel monitoraggio post-operatorio, in particolare per l’identificazione di complicanze come gli endoleak.

    Il trattamento degli endoleak dipende dal tipo di complicanza riscontrata. Gli endoleak sono una delle principali complicanze post-implantazione dell’endoprotesi e vanno gestiti prontamente per prevenire l’espansione dell’aneurisma e il rischio di rottura.

    Endoleak di Tipo I
    L’endoleak di tipo I si verifica quando l’endoprotesi non si adatta correttamente ai vasi sanguigni, determinando un flusso anomalo nella sacca aneurismatica. Questo tipo di complicanza comporta un rischio elevato di espansione e rottura dell’aneurisma. Il trattamento di prima scelta consiste nel rimodellamento della protesi utilizzando cateteri a palloncino o nel posizionamento di estensioni protesiche. In rari casi, può essere necessario eseguire un’embolizzazione della sacca aneurismatica. La radiologia interventistica sotto guida fluoroscopica è essenziale per il trattamento di questa complicanza. Solo nei casi più gravi, quando altre tecniche non hanno successo, è necessario ricorrere alla chirurgia.

    Endoleak di Tipo II
    A differenza degli endoleak di tipo I, gli endoleak di tipo II sono spesso auto-risolventi, con circa il 50% che si risolve spontaneamente. Tuttavia, è importante monitorare regolarmente i pazienti tramite follow-up radiologico. Se si osserva un aumento delle dimensioni della sacca aneurismatica superiore a 5 mm entro 6 mesi, è indicato intervenire con un trattamento. Il trattamento più comune per il tipo II prevede l’embolizzazione delle arterie afferenti alla sacca aneurismatica tramite tecniche avanzate di radiologia interventistica. Se il trattamento trans-arterioso non è possibile, l’approccio percutaneo o trans-cavale può essere utilizzato per embolizzare direttamente la sacca.

    Endoleak di Tipo III
    Gli endoleak di tipo III derivano dalla disconnessione o perforazione della protesi stessa. Per evitare questa complicanza, è fondamentale garantire una sovrapposizione adeguata degli elementi modulari del graft. Il trattamento per questo tipo di endoleak prevede il posizionamento di cuffie o estensioni supplementari con tecniche simili a quelle usate per l’impianto della protesi iniziale.

    Endoleak di Tipo IV e V
    Gli endoleak di tipo IV e V erano associati principalmente a specifiche tipologie di protesi. Tuttavia, con l’introduzione di protesi di nuova generazione, questi tipi di endoleak sono diventati molto più rari. L’uso di protesi con uno strato aggiuntivo di ePTFE a bassa permeabilità ha contribuito significativamente alla riduzione delle complicanze legate a questi tipi di endoleak.

    La radiologia interventistica continua a svolgere un ruolo fondamentale nella gestione degli endoleak, sia per la diagnosi che per il trattamento. È importante che i pazienti sottoposti a intervento EVAR seguano regolari controlli per identificare precocemente eventuali complicanze e ottimizzare i risultati del trattamento.


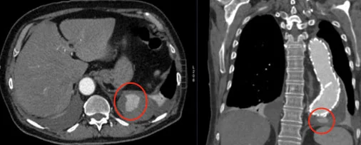
mmagine TC che mostra un endoleak visibile durante il follow-up post-implantazione.

EL Tipo Ib

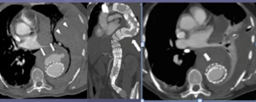
Guida radiologica durante embolizzazione per endoleak di tipo III da disconnessione della protesi

EL Tipo II

Embolizzazione percutanea per trattamento endoleak sotto guida radiologica

EL Tipo III