Affidati alla radiologia interventistica per trattare l'ernia al disco, una soluzione avanzata che offre risultati efficaci senza la necessità di un intervento chirurgico. Grazie a tecniche minimamente invasive, il recupero è rapido e il rischio di complicanze è notevolmente ridotto.

  • Ernia del disco lombare: Cos’è, Sintomi e Cause

    L’ernia del disco lombare è una condizione patologica molto comune, che interessa la colonna vertebrale, in particolare la regione lombare. La colonna vertebrale è composta da una serie di vertebre, tra le quali si trovano i dischi intervertebrali, strutture ammortizzanti che fungono da “cuscinetti” tra una vertebra e l’altra. Questi dischi sono formati da due componenti principali:

    • Nucleo Polposo: è la parte centrale del disco, gelatinosa e morbida.
    • Anulus Fibroso: è la capsula esterna che avvolge il nucleo polposo, costituita da fibre di collagene.

    L’ernia del disco si verifica quando una parte del nucleo polposo fuoriesce attraverso una lacerazione dell’anulus fibroso. Questo frammento di materiale discale si sposta nel canale spinale, comprimendo le strutture nervose circostanti, come le radici nervose. La compressione di queste radici nervose provoca dolore, irritazione e talvolta debolezza muscolare.

    La zona più frequentemente interessata dalle ernie discali è la regione lombare della colonna vertebrale, in particolare nelle aree tra le vertebre L4-L5 e L5-S1. La compressione di una o più radici nervose nel canale lombare è la causa principale del dolore, che può irradiarsi verso le gambe, una condizione nota come sciatica.

    I sintomi della patologia degenerativa del disco lombare variano in base alla localizzazione dell’ernia e alla radice nervosa compressa. Possono essere lievi o gravi, a seconda della condizione.

    I sintomi più comuni includono:

    • Mal di schiena intermittente o continuo: Può essere acuto o sordo, peggiorando con il movimento, tosse, starnuti o quando si sta in piedi per lunghi periodi.
    • Spasmo muscolare nella schiena: Contrazioni muscolari dolorose che limitano il movimento, specialmente nella zona lombare.
    • Sciatica: Dolore che parte dalla parte bassa della schiena o dalla natica e si irradia lungo la gamba fino al piede. Può essere lancinante o bruciante.
    • Debolezza muscolare nelle gambe: La compressione dei nervi può causare difficoltà a camminare o sollevare oggetti.
    • Intorpidimento della gamba e/o del piede: Sensazioni di formicolio o intorpidimento, spesso nella parte posteriore della gamba o nei piedi.
    • Diminuzione dei riflessi: I riflessi al ginocchio o alla caviglia possono diminuire a causa della compressione delle radici nervose.
    • Disturbi sfinteriali: In rari casi, l’ernia grave può causare difficoltà nel controllare la minzione o i movimenti intestinali, segno di una compressione nervosa grave.

    Quando Consultare un Medico

    I sintomi della patologia degenerativa del disco lombare possono somigliare a quelli di altre condizioni. È importante consultare un medico per una diagnosi corretta. Nei casi più gravi, possono manifestarsi segni come debolezza a un arto, difficoltà di deambulazione o perdita di controllo dell’intestino o della vescica, che richiedono un intervento urgente.

    Conclusione

    La patologia degenerativa del disco lombare è una delle principali cause di dolore lombare e sciatico. Sebbene molti pazienti possano affrontare i sintomi con trattamenti conservativi, una diagnosi precoce è fondamentale per scegliere il trattamento più adatto. In molti casi, la radiologia interventistica offre soluzioni minimamente invasive, migliorando la qualità della vita e evitando interventi chirurgici invasivi.

    L’ernia del disco lombare è una condizione che può derivare da diversi fattori, spesso legati a usura e deterioramento naturale dei dischi intervertebrali. I dischi intervertebrali sono strutture a forma di cuscinetto situate tra le vertebre della colonna vertebrale, e la loro funzione principale è quella di ammortizzare gli urti e permettere la mobilità. Quando uno di questi dischi subisce danni, può provocare una compressione dei nervi spinali e causare dolore, intorpidimento e debolezza. Le cause dell’ernia del disco sono molteplici e possono coinvolgere una combinazione di fattori genetici, ambientali e legati allo stile di vita. Ecco le principali cause dell’ernia discale lombare.

    1. Invecchiamento e Degenerazione del Disco

    Il fattore principale che contribuisce alla formazione dell’ernia del disco è l’invecchiamento. Con il passare degli anni, i dischi intervertebrali tendono a perdere elasticità e flessibilità. I dischi stessi si disidratano, riducendo la loro capacità di assorbire gli urti e diventando più suscettibili a rotture o fessurazioni. Questo processo, noto come degenerazione discale, rende il disco più vulnerabile e aumenta il rischio di ernia. Le persone di età superiore ai 40 anni sono maggiormente a rischio di sviluppare un’ernia del disco lombare a causa di questi cambiamenti naturali.

    2. Traumi e Infortuni

    Un trauma diretto o un infortunio alla colonna vertebrale può causare un’ernia del disco. Incidenti, cadute, incidenti stradali o sollevamenti errati di oggetti pesanti possono comprimere e danneggiare i dischi intervertebrali, causando la fuoriuscita del nucleo polposo. I traumi acuti possono alterare l’integrità dei dischi, rendendo più probabile una compressione nervosa. Inoltre, movimenti improvvisi, come una torsione violenta o un colpo di tosse forte, possono essere sufficienti a provocare un’ernia del disco, specialmente in individui già predisposti a problemi spinali.

    3. Movimenti Ripetitivi e Sforzi Prolungati

    Le persone che eseguono lavori manuali pesanti, che richiedono sforzi fisici costanti o movimenti ripetitivi, come piegamenti, sollevamenti o torsioni della colonna vertebrale, sono a maggior rischio di sviluppare un’ernia del disco. Le sollecitazioni continue e il carico eccessivo sui dischi spinali possono causare la rottura o la fuoriuscita del materiale del disco. Ad esempio, sollevare oggetti in modo scorretto, senza l’uso della postura adeguata, può compromettere la struttura dei dischi intervertebrali, accelerando la degenerazione e aumentando il rischio di ernia.

    4. Obesità

    Il sovrappeso o l’obesità è un fattore di rischio significativo per l’ernia del disco lombare. Il peso corporeo in eccesso aumenta il carico sulla colonna vertebrale, particolarmente nella zona lombare. La pressione extra sui dischi intervertebrali può accelerare il processo di degenerazione, rendendo più probabile l’insorgenza di un’ernia. Inoltre, l’obesità può essere correlata a una ridotta attività fisica, che contribuisce alla debolezza muscolare e a una minore stabilità della colonna vertebrale.

    5. Predisposizione Genetica

    La predisposizione genetica gioca un ruolo importante nello sviluppo dell’ernia del disco lombare. Se un familiare ha avuto una ernia del disco o altri problemi spinali, la probabilità di sviluppare la stessa condizione aumenta. Studi genetici suggeriscono che alcune varianti nei geni possono influenzare la forza e la struttura dei dischi intervertebrali, aumentando la vulnerabilità a lesioni o degenerazione precoce.

    6. Fumo

    Il fumo è un altro fattore di rischio per l’ernia del disco. I fumatori hanno una ridotta circolazione sanguigna e una minore ossigenazione dei tessuti che alimentano i dischi intervertebrali. Ciò può accelerare la degenerazione dei dischi e aumentare la probabilità di sviluppare un’ernia. Il fumo, infatti, compromette i processi di riparazione naturale dei dischi, rendendo i dischi più fragili e suscettibili a danni.

    7. Inattività Fisica e Debolezza Muscolare

    Uno stile di vita sedentario può indebolire i muscoli della colonna vertebrale e compromettere la stabilità della zona lombare. La debolezza muscolare causata dalla mancanza di esercizio fisico può aumentare la pressione sui dischi intervertebrali e favorire lo sviluppo di un’ernia del disco. È importante mantenere una buona forma fisica e fare esercizi di rafforzamento per sostenere la colonna vertebrale e prevenire lesioni.

    Conclusione

    L’ernia del disco lombare è una condizione che può derivare da una combinazione di fattori genetici, ambientali e legati allo stile di vita. Le cause principali includono l’invecchiamento, i traumi fisici, i movimenti ripetitivi, l’obesità, la predisposizione genetica, il fumo e l’inattività fisica. È importante intervenire tempestivamente e adottare uno stile di vita sano per ridurre i rischi di sviluppare questa patologia. La radiologia interventistica offre trattamenti minimamente invasivi che possono essere un’alternativa efficace alla chirurgia, migliorando la qualità della vita dei pazienti con ernia discale lombare.

Radiologia interventistica per trattamento ernia al disco
Trattamento percutaneo dell'ernia al disco con tecnologia avanzata
  • Ernia del disco lombare:: Diagnosi e Trattamenti

    La diagnosi di un’ernia o protrusione del disco vertebrale si basa su vari strumenti. La visita clinica e i sintomi descritti dal paziente sono cruciali per sospettare un problema discale. I medici utilizzano diversi esami per confermare il sospetto.

    Radiografia (Rx)
    La radiografia della colonna vertebrale (cervicale, dorsale e lombare) può rilevare segni di usura (degenerazione) dei dischi, restringimento del canale spinale o riduzione dello spazio tra i dischi. Dopo un trauma, la radiografia serve per escludere fratture, lussazioni o instabilità.

    Risonanza Magnetica (RM)
    La Risonanza Magnetica è l’esame d’elezione per studiare i dischi intervertebrali e la loro relazione con le strutture circostanti. Permette di visualizzare in dettaglio le protrusioni discali o ernie, identificando eventuali compressioni delle radici nervose e danni al midollo spinale. È il test ideale per comprendere la gravità della condizione.

    Tomografia Assiale Computerizzata (TAC)
    La TAC è utile per identificare danni ossei, come fratture o dislocazioni. Sebbene non sia sempre in grado di rilevare ernie o protrusioni discali come la risonanza magnetica, è utile per visualizzare le strutture ossee. In alcuni casi, la TAC viene utilizzata quando non è possibile eseguire una RM, ad esempio in caso di controindicazioni.

    Studi Elettrodiagnostici (EMG e velocità di conduzione nervosa)
    Questi test, come l’elettromiografia (EMG), sono utili per valutare la debolezza muscolare nelle braccia, mani o gambe. Possono distinguere se il problema è causato da compressioni nervose, danni al nervo stesso o altre problematiche secondarie. Questi studi aiutano a chiarire l’origine dei sintomi e guidano nella scelta del trattamento.

    Descrizione Generale

    Quando un paziente soffre di un’ernia del disco, ci sono diverse opzioni di trattamento disponibili. L’approccio iniziale tende a essere conservativo, ma quando il dolore non può essere controllato o se sono presenti deficit neurologici, la chirurgia potrebbe essere necessaria. Tuttavia, per evitare i rischi e i tempi di recupero associati alla chirurgia tradizionale, sono state sviluppate tecniche mini-invasive che permettono di trattare l’ernia del disco senza dover ricorrere a interventi chirurgici invasivi.

    Queste tecniche, che si avvalgono di **imaging guidato**, mirano a ridurre la pressione intradiscale e a permettere al materiale erniato di rientrare nel suo posto, riducendo i sintomi e migliorando la qualità della vita del paziente.

    Tecniche Mini-Invasive

    Tipo di Trattamento Descrizione
    Tecniche di decompressione L’obiettivo è ridurre la pressione sul disco e sulle radici nervose circostanti per alleviare il dolore.
    Tecniche che usano sostanze chimiche Utilizzo di sostanze chimiche come l’ozono per ridurre il volume del disco e alleviare i sintomi.
    Tecniche per dischi fissurati Adatte per dischi che presentano fissurazioni o danni, mirano a ridurre la protrusione.
    Tecniche a bassa temperatura (FR) L’uso di frequenze radio a bassa temperatura per ridurre il materiale erniato e migliorare il dolore.
    Tecniche con navigazione (punta attiva) Impiego di dispositivi di navigazione per una maggiore precisione nel trattamento.

    Altri Trattamenti Mini-Invasivi

    • DISKOM: Una tecnologia avanzata che permette di rimuovere il materiale erniato dal disco con precisione.
    • DISCOGEL/OZONO: Iniezioni di ozono che riducono il volume del disco e alleviano il dolore.
    • IDET (Intra-Discal Electrothermal Therapy): Riscaldamento dell’interno del disco per ridurre la protrusione e migliorare i sintomi.
    • COBLATION 40-70°: Tecnica che utilizza onde radio per ridurre il volume del materiale erniato.
    • LASER: Trattamento laser per vaporizzare parte del disco e ridurre la pressione sul nervo.

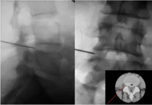
    Le procedure di radiologia interventistica per il trattamento dell’ernia del disco sono minimamente invasive e vengono eseguite sotto guida radiologica, garantendo una precisione assoluta. Il radiologo interventista posiziona un ago all’interno del disco intersomatico, utilizzando punti di repere anatomici precisi per assicurare la corretta localizzazione. Per confermare la posizione, è possibile anche iniettare una piccola quantità di mezzo di contrasto radiopaco, una procedura chiamata discografia.

    Una delle tecniche più comuni per trattare l’ernia del disco è la coblazione. In questo caso, l’uso della radiofrequenza permette di “coagulare” una parte del nucleo polposo centrale del disco, riducendo la pressione all’interno del disco stesso e favorendo il riassorbimento del materiale erniato. Questo trattamento si svolge con un’alta precisione, senza necessità di incisioni chirurgiche.

    Un’altra procedura utilizzata nella radiologia interventistica è la discectomia meccanica, che prevede l’uso di un ago speciale, simile a una “vite senza fine”, capace di estrarre fisicamente una porzione del disco che causa l’ernia. Questa tecnica di decompressione meccanica aiuta a ridurre la pressione sulle radici nervose, alleviando così il dolore.

    Nuove alternative: Discogel e Ozonoterapia

    Un’innovazione recente nel trattamento dell’ernia del disco è l’uso di una sostanza contenente etanolo gelificato, derivato della cellulosa e tungsteno, chiamata Discogel. Questo trattamento prevede l’iniezione di Discogel nel disco intervertebrale per due scopi principali: ridurre l’ernia e ridare spessore al disco, che può essere assottigliato a causa della patologia degenerativa. L’assottigliamento del disco riduce la sua funzione di ammortizzatore, e il suo ripristino è essenziale per il benessere del paziente.

    La discolisi mediante ozonoterapia è un’altra tecnica innovativa che consiste nell’iniezione di una miscela gassosa di ossigeno e azoto direttamente nell’area del disco erniato e nelle zone circostanti. Questo trattamento stimola il processo di guarigione naturale, riducendo il dolore e migliorando la funzionalità. In genere, sono necessarie almeno cinque sedute per ottenere i migliori risultati. Dopo alcune settimane, l’ozono-ossigeno provoca la disidratazione del tessuto, riducendo la compressione sulle radici nervose e offrendo un sollievo significativo dal dolore, in particolare nei casi di ernia acuta.

    Nucleoplastica con Laser

    Un’altra opzione per il trattamento dell’ernia del disco è la nucleoplastica laser, che prevede l’uso di un laser per vaporizzare il materiale erniato. Questa tecnica è particolarmente efficace per ridurre la pressione sul nervo e bloccare la produzione di mediatori dell’infiammazione, contribuendo così ad alleviare il dolore e a migliorare la funzionalità.

    Ernia al disco trattata con tecnica percutanea avanzata

    L’immagine mostra il posizionamento dell’ago sotto guida radiologica (fluoroscopia).

    Iniezione di steroidi per ernia al disco con radiologia interventistica

    Approccio schematico dell’ago all’interno del disco intervertebrale per il trattamento di un’ernia cervicale.
    Radiologia interventistica per trattamento ernia al disco minimamente invasivo

    Passaggi intra-procedurali