Le tecniche di Radiologia Interventistica sono sempre più utilizzate nel trattamento di patologie ginecologiche comuni, come i fibromi uterini e la Sindrome da Congestione Pelvica (varicocele femminile). Questi trattamenti minimamente invasivi offrono soluzioni efficaci per migliorare la qualità della vita delle pazienti, riducendo significativamente i sintomi e i rischi associati agli interventi chirurgici tradizionali. Approfondisci i trattamenti disponibili per i fibromi uterini e la Sindrome da Congestione Pelvica, scoprendo le opzioni più innovative per il tuo benessere.

  • Fibromi Uterini: Cos’è, Sintomi e Diagnosi

    I fibromi uterini (o miomi) sono formazioni benigne che si sviluppano nel tessuto muscolare dell’utero. Questi noduli si formano a causa della proliferazione delle cellule muscolari lisce, che perdono la funzione contrattile e si organizzano in noduli delimitati da una pseudo-capsula di tessuto connettivo. Pur essendo neoplasie benigne, i fibromi possono alterare la funzionalità dell’utero.

    La maggior parte dei fibromi origina dal corpo dell’utero (95%) e, in una piccola percentuale, dal collo uterino o cervice (5%). I fibromi possono essere singoli o multipli e vengono classificati in base alla loro localizzazione:

    • Fibromi Intramurali: si sviluppano nello spessore del miometrio e ne alterano la contrattilità.
    • Fibromi Sottosierosi: protrudono verso la cavità pelvica sotto la sierosa che ricopre l’utero.
    • Fibromi Sottomucosi: si estendono verso la cavità uterina, occupandola.
    • Fibromi Peduncolati: sono connessi all’utero tramite un peduncolo, con il rischio di torsione.
    • Fibromi Infralegamentosi: sdoppiano le due pagine peritoneali del legamento largo dell’utero.

    La maggior parte dei fibromi è di piccole dimensioni e asintomatica, richiedendo solo un monitoraggio ecografico. Tuttavia, in alcuni casi, i fibromi possono causare sintomi dolorosi e disfunzionali, come:

    • Dolore pelvico: causato dalla contrazione del miometrio, dalla compressione degli organi interni o da ischemia/necrosi del fibroma. Questo dolore può essere avvertito come un senso di peso sotto l’ombelico o irradiato all’inguine e alla zona lombo-sacrale.
    • Menometrorragia: perdite ematiche abbondanti che si protraggono dopo le mestruazioni, dovute alla difficoltà dell’utero di contrarsi regolarmente.
    • Sintomi urinari: disuria, stranguria o stipsi, tipici nei fibromi di grandi dimensioni o sottosierosi.
    • Sterilità: i fibromi possono causare ostruzione degli osti tubarici o della cervice, o causare ipercontrattilità, favorendo aborti o parti pretermine.

    La diagnosi di fibromi uterini inizia con una visita ginecologica approfondita. Le indagini diagnostiche principali comprendono:

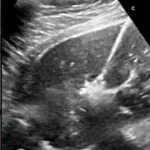
    • Ecografia Transvaginale: utilizzata per valutare le caratteristiche del fibroma, come la ipo- o iperecogenicità, la disomogenità e l’irrorazione del tessuto.
    • Isteroscopia: fondamentale per la valutazione dei fibromi sottomucosi e per eseguire eventuali biopsie nei casi di sanguinamenti anomali.
  • Fibromi Uterini: Cos’è, Sintomi e Diagnosi

    Le opzioni terapeutiche per i fibromi uterini comprendono diverse soluzioni, sia mediche che chirurgiche, inclusi trattamenti non invasivi e mini-invasivi. Ogni caso è valutato individualmente, in base alla gravità dei sintomi, alla posizione dei fibromi e alla desiderata preservazione dell’utero.

    Terapie Mediche: Le terapie farmacologiche per i fibromi uterini includono trattamenti ormonali e non ormonali. Sebbene queste soluzioni possano alleviare temporaneamente i sintomi come il sanguinamento anomalo e il dolore pelvico, spesso non sono risolutive a lungo termine. Tuttavia, in molte pazienti, i farmaci possono offrire un sollievo significativo per un periodo variabile.

    Trattamenti Chirurgici: Quando i fibromi non rispondono alle terapie mediche, o in caso di sintomi persistenti, il trattamento chirurgico può essere necessario. La miomectomia (asportazione dei fibromi) è una procedura che permette di preservare l’utero, mentre in alcuni casi più gravi si può optare per l’isterectomia (rimozione dell’utero), particolarmente quando i fibromi sono numerosi o di grandi dimensioni e causano danni significativi.

    Trattamenti Non Chirurgici Mini-Invasivi: Le opzioni non chirurgiche mini-invasive sono particolarmente apprezzate per la loro capacità di ridurre i tempi di recupero e i rischi associati agli interventi chirurgici. Questi trattamenti, come l’embolizzazione dell’arteria uterina, sono ben tollerati e possono essere una valida alternativa per le pazienti che desiderano evitare interventi chirurgici tradizionali. Inoltre, questi trattamenti non precludono la possibilità di un intervento chirurgico successivo, qualora necessario.

    La radiologia interventistica offre soluzioni avanzate e minimamente invasive per il trattamento dei fibromi uterini, permettendo alle donne di preservare l’utero senza ricorrere a chirurgia tradizionale. L’approccio radiologico prevede trattamenti personalizzati, in base alla tipologia e alla quantità dei fibromi.

    Embolizzazione dell’Arteria Uterina: L’embolizzazione dell’arteria uterina è uno dei trattamenti principali proposti dal radiologo interventista per le pazienti con fibromi multipli. Questa procedura endovascolare consiste nell’inserimento di un catetere attraverso una piccola incisione (generalmente nell’inguine), che viene guidato fino alle arterie che alimentano i fibromi. Piccole particelle vengono iniettate per bloccare il flusso sanguigno verso i fibromi, determinandone una riduzione progressiva. Questa tecnica è particolarmente indicata per donne che presentano numerosi fibromi (fibromatosi multipla).

    Tecniche Ablative Percutanee: In caso di fibromi singoli o di dimensioni contenute, l’approccio percutaneo con tecniche ablative, come la radiofrequenza o il laser, può essere utilizzato. Questi trattamenti mirano a distruggere i fibromi attraverso l’applicazione di calore o energia, senza necessità di incisioni chirurgiche. Questi trattamenti sono meno invasivi e consentono tempi di recupero significativamente più rapidi rispetto alla chirurgia tradizionale.

    Altre Terapie Fisiche Locali: In aggiunta alle opzioni endovascolari e ablative, altre terapie fisiche locali come laserterapia, ultrasuoni focalizzati ad alta intensità (HIFU) e crioterapia possono essere utilizzate in alcuni casi per ridurre la dimensione dei fibromi e alleviare i sintomi. Sebbene queste tecniche siano meno comuni, possono rappresentare un valido supporto nelle fasi iniziali del trattamento o nei casi meno gravi.

    Benefici della Radiologia Interventistica: I trattamenti di radiologia interventistica sono ben tollerati e consentono una rapida ripresa delle normali attività quotidiane. Inoltre, questi interventi preservano l’utero, mantenendo la fertilità della paziente, e sono meno invasivi rispetto alle soluzioni chirurgiche, riducendo al minimo i rischi di complicazioni e i tempi di degenza. In caso di insuccesso, è possibile optare per un trattamento chirurgico successivo, senza compromettere la possibilità di interventi futuri.

Diagnosi dei fibromi uterini tramite tecniche avanzate di imaging
Tecniche ablative per trattare fibromi uterini
Miomectomia per la rimozione dei fibromi uterin