L’osteoma osteoide si manifesta principalmente con dolore osseo scheletrico focale e persistente, che rappresenta il sintomo più caratteristico della patologia. Il dolore è tipicamente sordo, con una maggiore intensità nelle ore notturne (acme notturno), ed è altamente sensibile alla terapia con farmaci antinfiammatori non steroidei (FANS), in particolare ai salicilati, come l’Aspirina.
Nei pazienti con localizzazione vertebrale, il dolore tende a peggiorare con l’attività fisica e durante la notte. Nel 95% dei casi, il dolore è così intenso da compromettere il riposo notturno e nel 29% dei pazienti è talmente severo da provocare risvegli frequenti.
Sebbene il dolore sia il sintomo predominante, in rari casi (1,6%), l’osteoma osteoide può essere asintomatico. In questi pazienti, la lesione può manifestarsi con tumefazione, deformità locale e limitazione funzionale, a seconda della sede coinvolta.
Sintomi in base alla localizzazione della lesione
🔹 Lesioni periarticolari e intra-articolari
- Dolore articolare persistente, con possibile sinovite reattiva.
- Infiammazione dell’articolazione, che può limitare il movimento.
- Possibile aumento della temperatura cutanea e sudorazione locale nella sede della lesione.
🔹 Lesioni epifisarie
- Possono determinare un accrescimento anormale dell’epifisi, alterando il normale sviluppo osseo e compromettendo la funzionalità dell’arto.
🔹 Lesioni vertebrali
- Possono provocare spasmi muscolari, con conseguente scoliosi dolorosa concava verso la lesione.
- Altre deformità associate possono includere cifoscoliosi, torcicollo e iperlordosi.
- Nei bambini, l’osteoma osteoide è considerato una delle cause più comuni di scoliosi dolorosa.
- Nel 6,5% dei pazienti con osteoma osteoide spinale, possono comparire disturbi neurologici, a causa della compressione delle strutture nervose.
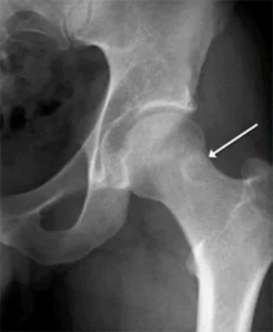
🔹 Lesioni a livello dell’anca
- Possono generare dolore riferito, spesso confuso con quello causato da una compressione della radice nervosa dovuta a ernia del disco.
Complicanze
Una lesione intracapsulare può provocare una forte risposta infiammatoria intra-articolare, simulando condizioni come:
- Artropatia erosiva
- Artropatia da cristalli
- Artrite infettiva
Circa il 50% dei pazienti con osteoma osteoide intra-articolare può sviluppare complicanze osteoartritiche tra 1,5 e 22 anni dopo l’esordio dei sintomi.
Nonostante il dolore persistente, l’osteoma osteoide non provoca impotenza funzionale né atrofia muscolare, anche nei casi in cui la lesione sia presente da molto tempo.
Conclusioni
L’osteoma osteoide è una patologia benigna, ma può avere un impatto significativo sulla qualità della vita, soprattutto se localizzato in sedi articolari o vertebrali. Il riconoscimento precoce dei sintomi e un’adeguata diagnosi sono fondamentali per evitare complicanze e permettere un trattamento efficace.


