Il tumore del fegato è una neoplasia maligna che origina nel tessuto epatico, il principale organo coinvolto nel metabolismo, nella produzione di proteine e nella disintossicazione. Esistono diverse forme di tumore al fegato, ognuna delle quali si distingue in base al tipo di cellule tumorali da cui ha origine.
Carcinoma Epatocellulare: Il Tipo Più Comune
Il carcinoma epatocellulare (HCC) è il tipo più comune di tumore del fegato, rappresentando circa il 90% di tutti i casi di cancro epatico. Questo tumore si sviluppa a partire dagli epatociti, le cellule principali del fegato che sono coinvolte nel metabolismo e nella produzione di bile. L’HCC è frequentemente associato a patologie preesistenti, come cirrosi epatica, epatite B o epatite C, che danneggiano il fegato e favoriscono la crescita di cellule tumorali.
Tumori Epatici Rari: Carcinoma Fibrolamellare
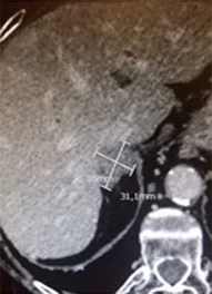
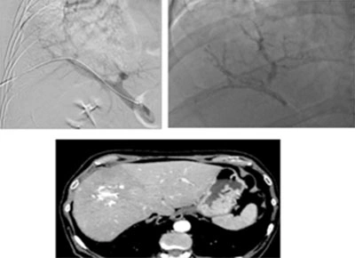
Un altro tipo di tumore del fegato, più raro, è il carcinoma fibrolamellare. Questa forma di cancro è generalmente diagnosticata in pazienti giovani e, rispetto al carcinoma epatocellulare, tende ad essere meno invasiva e a crescere in modo più ben delimitato. Una caratteristica distintiva del carcinoma fibrolamellare è la presenza di una lesione fibrotica centrale, visibile attraverso tecniche di diagnostica per immagini come la risonanza magnetica o la tomografia computerizzata (TC).
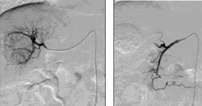
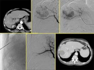
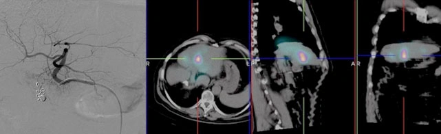
Sebbene si tratti di una forma rara, il carcinoma fibrolamellare viene trattato nella maggior parte dei casi come il carcinoma epatocellulare, con approcci terapeutici che possono includere chirurgia, trapianto di fegato, chemioembolizzazione o terapia sistemica.







