Scopri i benefici dei trattamenti minimamente invasivi per l'ospirazione delle vie urinarie: risolvi le ostruzioni senza bisogno di interventi chirurgici complessi, riducendo tempi di recupero e complicanze, per un miglior benessere a lungo termine

  • Uropatia Ostruttiva e Nefropatia Ostruttiva: Cos’è, Sintomi e Cause

    L’uropatia ostruttiva è una condizione caratterizzata da un ostacolo, sia strutturale che funzionale, che impedisce il normale deflusso urinario. Questo disturbo può verificarsi in qualsiasi punto del sistema urinario, influenzando il corretto flusso delle urine.

    La nefropatia ostruttiva si sviluppa quando l’ostruzione urinaria danneggia il parenchima renale, compromettendo la funzione dei reni e provocando danni permanenti se non trattata tempestivamente.

    L’idronefrosi e l’idroureteronefrosi sono condizioni di dilatazione della pelvi renale, dei calici renali o degli ureteri, a causa di un’ostruzione. Sebbene comunemente siano associate a ostruzioni, queste dilatazioni possono anche derivare da altri fattori. La gestione tempestiva è cruciale per prevenire danni irreversibili.

    L’uropatia ostruttiva è una condizione che può colpire le vie urinarie a vari livelli e con diverse intensità. I sintomi dipendono molto dalla posizione dell’ostruzione, dalla sua gravità e dalla velocità con cui si sviluppa. Ecco cosa può accadere:

    Il dolore è uno dei segnali più comuni. È causato dalla distensione del sistema collettore o della capsula renale, un po’ come un “allungamento” forzato che crea tensione e fastidio. Se l’ostruzione si trova nell’uretere superiore o nella pelvi renale, il dolore sarà localizzato al fianco o nella parte laterale dell’addome. In caso di ostruzione dell’uretere distale, il dolore può irradiarsi verso il testicolo o le grandi labbra, e questo può far pensare a problemi localizzati nell’apparato genitale.

    Se la ostruzione ureterale è completa e acuta, ad esempio a causa di un calcolo, il dolore sarà particolarmente intenso e urgente, spesso definito come un dolore lancinante e difficilmente tollerabile. Al contrario, quando l’ostruzione si sviluppa in modo lento e parziale, come può avvenire con un tumore pelvico o con un’ostruzione al giunto ureteropelvico, i sintomi potrebbero essere più leggeri o anche assenti nelle fasi iniziali.

    In chi soffre di uropatia ostruttiva cronica, i sintomi potrebbero passare inosservati per un lungo periodo, tanto che gli esami delle urine potrebbero sembrare normali, con pochi globuli bianchi o rossi. Tuttavia, se l’ostruzione colpisce entrambi i reni in modo grave, la situazione può degenerare velocemente verso un’insufficienza renale acuta o addirittura cronica. Questo può portare a stanchezza, difficoltà respiratorie, gonfiore e altri sintomi più gravi.

    È importante sottolineare che, anche se in molti casi l’uropatia ostruttiva può evolvere lentamente senza sintomi evidenti, una diagnosi tempestiva e un trattamento appropriato sono fondamentali per evitare complicazioni gravi, come l’insufficienza renale. Se avverti anche lievi segnali di disagio o dolore, è fondamentale non sottovalutare il problema e consultare un medico per una diagnosi precisa.

    Le cause dell’uropatia ostruttiva sono molteplici e possono derivare da una varietà di condizioni, alcune benigne e altre maligne. La patologia può essere acuta o cronica, parziale o completa, e può interessare un solo rene (monolaterale) o entrambi i reni (bilaterale). L’ostruzione può verificarsi in qualsiasi punto delle vie urinarie, dai tubuli renali fino al meato uretrale esterno, creando una serie di problematiche a seconda della sua localizzazione e gravità.

    Le cause si distinguono in intrinseche ed estrinseche, a seconda che l’ostruzione sia originata all’interno delle vie urinarie o dall’esterno.

    Cause Intrinseche

    Le cause intrinseche sono quelle che provengono direttamente dalle vie urinarie. Tra le più comuni troviamo:

    • Ostruzione del giunto pielo-ureterale: Una condizione in cui c’è un blocco tra la pelvi renale e l’uretere, che impedisce il normale flusso di urina.
    • Stenosi ureterali flogistiche: Il restringimento dell’uretere causato da infiammazioni, come quelle derivanti da infezioni o interventi chirurgici precedenti.
    • Ureterocele ostruttivo: Una dilatazione dell’uretere che crea un blocco al deflusso urinario.
    • Ipertrofia prostatica benigna (IPB): Un ingrossamento della prostata che può comprimere l’uretra e ostacolare il flusso urinario.
    • Valvole uretrali: Pieghe anomale che si formano nell’uretra, principalmente nei bambini, che possono ostruire il flusso urinario.
    • Stenosi uretrali: Un restringimento dell’uretra che può causare difficoltà nel passaggio dell’urina.
    • Calcolosi urinarie: La presenza di calcoli renali o ureterali che bloccano il flusso urinario.
    • Neoplasie uroteliali: Tumori che si sviluppano nell’epitelio che riveste le vie urinarie, come nel caso del tumore della vescica.

    Cause Estrinseche

    Le cause estrinseche provengono da patologie o condizioni che non sono direttamente legate alle vie urinarie ma che possono comprimerle dall’esterno. Queste includono:

    • Cause vascolari: Come l’aneurisma aortico o altre malformazioni vascolari che comprimono l’uretere.
    • Patologie dell’apparato riproduttivo femminile: Tumori o altre condizioni ginecologiche che possono comprimere le vie urinarie.
    • Malattie dell’apparato gastro-intestinale: Disturbi intestinali o addominali che causano compressione sull’uretere.
    • Patologie del retroperitoneo: Malattie che interessano l’area dietro la cavità addominale, come linfomi o cisti retroperitoneali.
    • Tumore della prostata: Un tumore prostatico che può esercitare pressione sull’uretra e sugli ureteri, causando ostruzioni.
    • Ostruzioni ab-estrinseco: Patologie esterne alle vie urinarie che, comprimendo l’uretere, ne impediscono il corretto funzionamento.

    L’uropatia ostruttiva può avere diverse origini e, se non trattata tempestivamente, può portare a danni ai reni e ad altre complicazioni gravi. È fondamentale individuare e trattare la causa specifica per evitare danni permanenti.

  • Uropatia Ostruttiva e Nefropatia Ostruttiva: Diagnosi e Trattamenti

    La diagnosi dell’uropatia ostruttiva inizia con una valutazione clinica ed anamnestica completa, che consente al medico di comprendere i sintomi del paziente e la sua storia medica. Oltre all’esame fisico, la diagnostica per immagini gioca un ruolo fondamentale nel confermare la diagnosi e identificare la causa e la localizzazione dell’ostruzione. Ecco alcuni degli strumenti diagnostici più utilizzati:

    ECO Renale-Vescicale

    L’ecografia reno-vescicale è un esame non invasivo che consente di identificare segni come l’idroureteronefrosi (dilatazione delle vie urinarie), calcoli e altre lesioni occupanti spazio. Ha un’alta sensibilità (97%) e un buon valore predittivo negativo (VPN 95%), ma può essere influenzato da meteorismo o da una costituzione fisica del paziente che impedisce una visione ottimale.

    TC Addome senza MDC (a bassa dose di radiazioni)

    La tomografia computerizzata (TC) senza mezzo di contrasto è utile per identificare la presenza di calcoli ureterali incuneati e per valutare le dimensioni e la forma dei reni e degli ureteri. È un esame molto utile per la diagnosi di calcolosi renale.

    Scintigrafia Renale Sequenziale con Test Diuretico

    Questo esame consente di valutare la funzionalità renale e la risposta del rene al flusso urinario. Viene utilizzato per studiare la capacità di filtrazione dei reni e per escludere l’eventuale danno funzionale causato dall’ostruzione.

    TC Addome con e senza MDC (URO-TC)

    La URO-TC è una tomografia computerizzata addominale avanzata, che viene eseguita con l’uso di mezzo di contrasto per migliorare la visibilità delle strutture urinarie. È particolarmente utile per il planning pre-trattamento e per la valutazione funzionale in caso di sospetto di complicanze. Aiuta anche a identificare possibili ostacoli o malformazioni.

    URO-RM

    La risonanza magnetica (RM) urinaria è impiegata in casi selezionati, come nei pazienti con rene trapiantato, bambini, donne in gravidanza, insufficienza renale o allergie al mezzo di contrasto. Questo esame offre immagini ad alta definizione delle vie urinarie senza l’uso di radiazioni, ed è utile per la valutazione di patologie renali complesse o per i pazienti che non possono tollerare altri tipi di contrasto.

    Questi esami diagnostici, combinati con una valutazione accurata dei sintomi del paziente, consentono di determinare l’entità dell’ostruzione, la sua posizione e la causa sottostante, aiutando il medico a stabilire il trattamento più appropriato.

    Il trattamento dell’uropatia ostruttiva ha come obiettivo il miglioramento della funzionalità renale, il sollievo dai sintomi e la prevenzione di danni renali futuri. Può essere sia curativo che palliativo, a seconda della gravità dell’ostruzione e delle condizioni generali del paziente. Il trattamento può variare, ma spesso coinvolge una stretta collaborazione tra il radiologo interventista e l’urologo, che lavorano insieme per affrontare le complicazioni legate all’ostruzione delle vie urinarie.

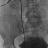
    Nefrostomia

    La nefrostomia è una procedura in cui viene posizionato un drenaggio percutaneo attraverso la pelle per drenare l’urina direttamente dal rene verso l’esterno. Questa procedura viene eseguita sotto guida radiologica, in cui il radiologo interventista punta il calice renale e inserisce il drenaggio. È spesso necessaria in caso di danni traumatici o iatrogeni delle vie urinarie, oppure per “mettere a riposo” la via escretrice in caso di ostruzioni gravi.

    Stent Pielo-Vescicale

    In alcuni casi, per preservare la pervietà dell’uretere e favorire la rapida cicatrizzazione, viene posizionato uno stent pielo-vescicale. Questo stent aiuta a mantenere l’uretere aperto e ridurre il rischio di recidive. Può essere posizionato per evitare il discomfort di un drenaggio esterno, ed è indicato quando si vuole conservare il comfort del paziente.

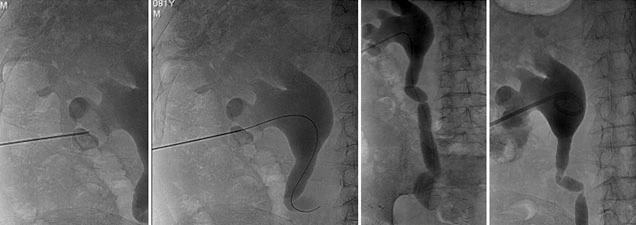
    Posizionamento di Stent Nefro-Vescicale

    In alcuni casi, viene posizionato uno stent nefro-vescicale quando il drenaggio esterno non è più necessario o desiderato dal paziente. Questo stent può essere posizionato anche in urgenza, ad esempio in presenza di infezioni gravi, insufficienza renale acuta o in pazienti con un solo rene. La sostituzione periodica degli stent può essere eseguita endoscopicamente dall’urologo o sotto guida radiologica dal radiologo interventista, con una procedura rapida e a basso rischio in regime di day surgery.

    Biopsie Mirate

    In caso di sospetta patologia maligna, è possibile eseguire biopsie mirate sotto guida radiologica. Questa tecnica permette di prelevare campioni tissutali specifici per analizzare la presenza di tumori o altre lesioni senza dover eseguire un intervento chirurgico invasivo.

    Stent Metallici Removibili

    Quando è presente una stenosi su cicatrice che rischia di occludere l’uretere, si possono utilizzare stent metallici removibili. Questi stent vengono posizionati per mantenere il lume dell’uretere aperto e prevenire l’ostruzione causata dalla cicatrizzazione, e vengono rimossi successivamente sempre sotto guida radiologica.

    Questi trattamenti sono fondamentali per gestire e risolvere l’ostruzione delle vie urinarie, migliorando la qualità della vita del paziente e prevenendo danni renali irreversibili.

    Uropatia ostruttiva, una condizione che ostacola il flusso urinario
    Nefropatia ostruttiva che danneggia il parenchima renale
Idroureteronefrosi, dilatazione delle vie urinarie a causa di ostruzioni
Tecniche diagnostiche per l'ostruzione delle vie urinarie: eco renale e TC
Posizionamento stent nefro-vescicale per trattare l'ostruzione urinaria
Biopsia mirata sotto guida radiologica per diagnosi precisa